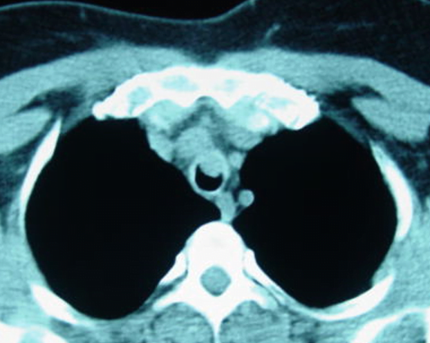
Öksürük, wheezing ve stridor, dispne, hemoptizi, ses kısıklığı, disfaji, rekürren pnömonilerdir.   Trakea tümörü semptomları yalnızca trakea tümörleri özgü olmadığından tanı yanlışlığı ve gecikmelere neden olabilir.  Bu hastalar astım ve KOAH hastaların şikâyetlerini taklit ettiği için bir kısmı astım diye takip edilip sonradan tanı konan bir çok hasta var.

Visit us: https://dradaletdemir.com/hastaliklar/trakea-tumorleri-belirtileri-tanisi-ve-tedavisi/
181 просмотра

Trakea Tümörleri

Загружено 3 года назад

Öksürük, wheezing ve stridor, dispne, hemoptizi, ses kısıklığı, disfaji, rekürren pnömonilerdir. Trakea tümörü semptomları yalnızca trakea tümörleri özgü olmadığından tanı yanlışlığı ve gecikmelere neden olabilir. Bu hastalar astım ve KOAH hastaların şikâyetlerini taklit ettiği için bir kısmı astım diye takip edilip sonradan tanı konan bir çok hasta var.

Visit us: https://dradaletdemir.com/hastaliklar/trakea-tumorleri-belirtileri-tanisi-ve-tedavisi/

Нажмите на миниатюру, чтобы отредактировать изображение или изменить его размер
Отредактируйте изображение касанием окна предпросмотра.
Загружается 0 изображение (0% завершено)
Загружается очередь изображений. Это может занять некоторое время.
Загрузка завершена
Загруженное содержимое добавлено к альбому . Вы можете создать новый альбом с загруженным содержимым.
Загруженное содержимое добавлено к альбому .
Вы можете создать новый альбом с загруженным содержимым. Вы должны создать аккаунт или войти, чтобы сохранить это содержимое в свой аккаунт.
Не было загружено ни одного изображение.
Some errors have occurred and the system couldn't process your request.
    Внимание: Некоторые изображения не были загружены. подробнее
    Проверьте отчет об ошибках для получения более подробной информации.
    JPG PNG BMP GIF 10 MB